Virtual Treatment Consultation
We’re making orthodontic care easier than ever with our virtual consultation option! Simply take a few photos of your smile following our guidelines and submit them 48 hours before your scheduled appointment. This allows Dr. Mariah Pewarski to review your photos in advance and provide personalized recommendations during your virtual consultation.
![]()
1. Snap Your Photos – Ask a friend or family member to help you take five clear photos of your smile using a smartphone or digital camera.
![]()
2. Submit Your Images – Use the form on this page to upload your photos and share any concerns you have.
![]()
3. Meet with Dr. Pewarski – During your virtual consultation, She will review your images with you and discuss your treatment.
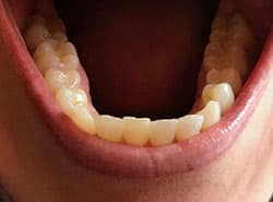
Photo Tips for the Best Results
Sit in a well-lit room for clear and accurate images.
Have someone else take the photos for better angles and visibility.
Follow our example images to ensure the most useful results.
Not sure if your photos meet the guidelines? Feel free to contact our office—we’re happy to help!
"*" indicates required fields